На Светот на вештачката интелигенција оваа недела: Нови модели, биомиметички роботи и знаци на дигиталната трансформација
Дневниот живот се вклучува со брза темпо во секојдневната употреба на вештачка интелигенција, додека технолошките напредоци се чести и постојани. Во овој период, значајните вести упатуваат на важни прекретници што можат да ја одредат иднината на светот и нудат насоки.
AI дневници серијата оваа недела ги собрани неколку наслови: нови верзии, иновативни алатки и проекти што го трансформираат секторот. Посебно внимание привлекуваат студиите за влијанието на AI агентите во деловниот свет и автономните студии за енергетските потреби на податоцните центри во вселената.
RentAHuman проектот се појави како најавувач на ново дефинирање на улогата на вештачката интелигенција во бизнисот. Платформата ветува плаќања за разни задачи преку мисионери со совпаѓање со AI, со почетен ценовник од 2 долари по задача, преку кои се вршат трансфери во крипто паричници и корисниците создаваат листи со своите вештини.
xAI и соработката со SpaceX ја означуваат почетокот на нова ера, комбинирајќи вселенски технологии со вештачка интелигенција. Договорот оценува дека вредноста на SpaceX изнесува околу 1 трлн долари, додека xAI е проценета на 250 милијарди долари. Овој чекор ја поставува и можноста за испраќање на енергија во вселената преку AI системи.
Шангајската компанија DroidUp ја претстави биомиметичкиот робот Moya, кој движи, воспоставува контакт со очи, и имитира изрази на лицето, што ја конкретизира концепцијата embodied AI. Moya е долг околу 1,65 метри и тежок 32 килограми, со човечни размера и правила, а информациите за температурата покажуваат дека е дизајнирана за по-naturalна интеракција.
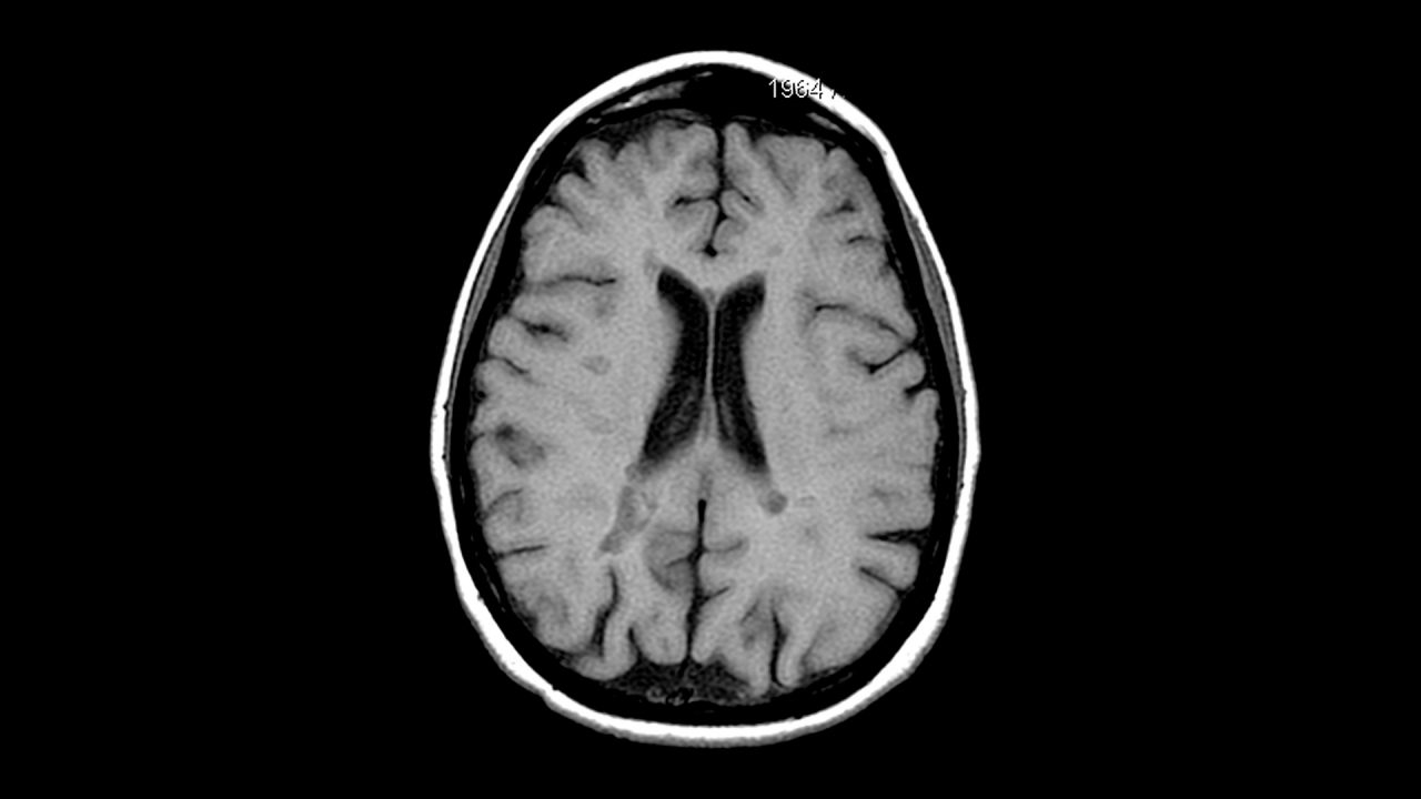
Prima, специјална медицинска AI, е обучена со преку 220.000 резултати од МР резултати и ги анализира скоро моментално, овозможувајќи дијагноза. Првите податоци тврдат за точност од над 97,5 % во повеќе од 50 дијагностички категории. Овој модел работи како vision-language пристап, разгледувајќи медицинска историја и МР сектори за сеопфатна анализа.
Објавувањето на GPT-5.3-Codex е чекор напред во трансформацијата на софтверскиот развој, бидејќи се планира да биде асистент кој ќе учествува во сите фази од циклусот на кодирање. Иако моментално е затворен за API пристап, се најавува дека ќе биде достапен наскоро.
Claude Opus 4.6 и Anthropic одржуваат нова страница во развојот со подобрувања, особено во комплицирани задачи и повеќестепени процеси. Opus 4.6 е представен како сеопфатна верзија за програмери и општи професионалци, нудејќи подобрувања и во сложени задачи.
Истражувањата покажуваат дека дел од веб-капањето го сочинуваат AI ботовите, што прави проблеми за безбедност и политики за содржина. TollBit со својот извештај покажува дека до крајот на 2025 година, една трета од здјал наредниот трафик ќе биде од AI ботови, при што бројот на ботови што ги игнорираат правилата “robots.txt” значително се зголемува.
Друга важна статистика доаѓа од UNICEF: во изминатата година најмалку 1,2 милиони деца имале свои фотографии злоупотребени за социјални лажни видеа (deepfake) со сексуални содржини, додека Internet Watch Foundation забележа голем пораст во таков тип содржини, а некои региони ги чувствуваат реперкусиите директно врз децата.
Оваа недела се претставуваат AI алатки, како SeeDance 2.0, која овозможува создавање на гласовни видеа. MiniCPM-o 4.5 нуди анализа на визуелни податоци заедно со гласовна и писмена комуникација. Higgsfield и Anthropic ја развија заедничката Higgsfield Vibe-Motion за повеќе контрола во креирањето движечко содржина. Z.ai’s GLM-OCR брзо го извлекува текстот од слики, а Omnimatte Zero помага да се идентификуваат и отстранат од видеото одредени објекти, додека PaperBanana пак ги претвора податоците во табли и научни шеми. OpenAI официјално ја лансираше независната десктоп апликација за Codex, која овозможува управување со повеќе AI агенти преку една „командна центра“.
Кратки Забелешки за најзначајните случки оваа недела: Gemini достигнува скоро 750 милиони месечни корисници и продолжува да се приближува кон ChatGPT; Grok ги блокира непосакуваните содржини, но во некои случаи овозможува и неродови содржини за машки корисници; проектот на Apple за здравјето ги интегрира функциите на health coach во Health апликацијата; промените во пристапот кон рекламирање со Claude; цените на Raspberry Pi се зголемуваат поради глобалната криза со мемориите, додека вештачката интелигенција како SahiAI станува се популарен алатка за пребарување. Планираното зголемување на капиталните трошоци од Alphabet и Amazon за 2026 укажува на интензивирање на инвестициите.
Оваа недела забележавме многу напредоци во областа на вештачката интелигенција. Особено фокусот врз конкретните светови ги зајакна embodied AI пристапите и ги приближи човечко-машинските интеракции кон повеќе човечки состојби.
Платформите како RentAHuman, што имаат за цел да го премостат концептот дека AI целосно ќе ги преземе работните места на луѓето, бараат нови можности преку колаборативни модели. Договорот меѓу SpaceX и xAI ја проширува границата на технологијата со конективност на вселенските технологии и AI системите.
Во областа на здравството, модели како Prima ја зголемуваат брзината и доверливоста на анализа на медицински слики, овозможувајќи подобро поддршка на клиничките одлуки. GPT-5.3-Codex и Claude Opus 4.6 ја освојуваат софтверската сцена со побрза продукција на код и подобрени аналитички можности.
Зголемениот удел на AI ботови во интернет сообраќајот ги создава новите предизвици во безбедноста и политиките за содржина. Извештаите од UNICEF и IWF ги потсетуваат на ризиците што може да ги носи AI за децата, додека алатките како SeeDance 2.0 и GLM-OCR ги подобруваат технолошките искуства на корисниците.
Општиот заклучок е дека AI со постојани континуирани влијанија ги промовира како физичкиот свет така и дигиталната екосистема, а најзначајните наслови во оваа недела се SeeDance 2.0 и GLM-OCR, кои со своите можности ги прават технологиите повеќе дел од секојдневието.








